Servicios
Deotología
Odontología Estética
Odontología Geriátrica
Odontología Preventiva
Odontología Protésica
Odontología Restauradora
Oclusión
Artículos de interés

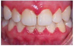
¿Por qué se inflaman las encías?
La Gingivitis, es una enfermedad del tejido que cubre a las piezas dentarias y se llama encía, ésta debe de ser de color rosado y debe de contar con características similares al puntilleo de la piel de la naranja, se inserta de manera tal que se divide horizontalmente en tres partes, la más superior en caso del maxilar superior y la más inferior en el caso de la mandíbula, se llama encía libre sólo recubre a los tejidos internos pero no se inserta sobre ellos, la parte media en ambos casos (superior e inferior) se llama encía insertada, ella, está muy adherida al hueso y la parte más cercana a todas las piezas dentarias, se llama encía marginal, por estar implantada cerca del cuello o margen de dientes y muelas. Si elegimos para la higiene de la boca, cepillos de cerdas muy duras y tallamos con ellos a las piezas dentarias, sólo inflamamos a la encía y provocamos que ingrese a la parte interna el residuo líquido de los alimentos disfrazado de enzimas porque comienza a desprenderse el tejido; peor aún si la dieta que acostumbramos está rica en carbohidratos y grasas o no visitamos por lo menos dos veces al año a un especialista para que practique una limpieza y retire el tártaro dentario o sarro acumulado éste se comienza a introducir entre los cuellos de los dientes o muelas y la encía marginal. Al inicio de ésta enfermedad, ésta se llama GINGIVITIS y clínicamente el especialista lo que percibe es la inflamación de la encía, ésta pierde sus características, se pone roja y sangra, nosotros sólo vemos que al lavar la boca los dientes sangran pero eso lo atribuimos a la fuerza empleada para el tallado de las piezas y muchas veces creemos que eso es normal; por tal motivo dejamos que este daño avance y que ahora su nombre sea GINGIVOSIS y provocamos que aumenten también los signos y síntomas característicos del padecimiento, ahora esa inflamación, provoca la formación de bolsitas que guardan a las bacterias y la encía comienza a perder su tamaño, el sangrado es más abundante y frecuente y en ocasiones hasta hablando nos sangra la encía, además de que el sabor de esa sangre es un tanto cetónico a consecuencia del suero purulento que se crea en ese espacio y su sabor no es nada tolerable. Es increíble que los pacientes dejen pasar tanto este padecimiento; regularmente cursa por cuatro etapas o estadíos y va de moderado a severo, esto habitualmente les sucede a personas que fuman mucho, que ingieren muchas bebidas gaseosas, café o medicamentos, alimentos grasos o cálcicos como los derivados de productos lácteos pero sobre todo que no tienen costumbres de higiene bucal o que la técnica que emplean no es la adecuada. Al dejar que el daño siga, ingresan al tercer estadío y desafortunadamente aquí ya se daña internamente la encía, la cual por dentro cambia su nombre y se llama parodonto, por lo consiguiente ésta etapa recibe el nombre de parodontitis; comienza la inflamación por dentro, la infiltración del suero purulento y las bacterias proliferan, además te sientes aislado por percibirte con halitosos y pensar que así te ven los demás; aquí por no tener por donde salir, se acumulan formando una bolsa parodontal o periodontal y por consecuencia de esto, las piezas dentarias comienzan a separarse, las fibras de sostén que recubren a los dientes se destruyen y el paciente siente dolor o incomodidad, de aquí a el daño más inflexible ya no resta más que la cuarta etapa llamada parodontosis y el paciente termina por perder las piezas dentarias. Por tal motivo te invito a que visites a tu especialista para que te oriente sobre cómo y qué elementos para la higiene de la boca sean los más adecuados a tu problema, para que prevengas daños como los ocasionados en éstas enfermedades y utilices técnicas apropiadas al asear tu boca, ya que muchas veces por no conocer antecedentes de éste tipo, al limpiar los dientes sin métodos indicados sólo empaquetamos los residuos de alimentos sin darnos cuenta. Además es importante que acostumbres a que los cepillos, cremas dentales y cedas con las que realices el proceso de higiene bucal, los deles en un espacio libre del ambiente húmedo que prevalece en los baños, lejos además de terceras personas y familiares que puedan utilizarlos pues además de que puedes contaminar los utensilios de higiene de tu familia, es importante que valores que los productos de higiene bucal al igual que los rastrillos deben ser de uso personal, la razón es que no debes compartirlos porque las bacterias que retiras de tu boca, muchas veces se quedan en los cuellos de los tubos de crema dental o entre las cerdas de los cepillos. Y por último te aconsejo que los cambies cada tres meses aún y cuando los percibas prácticamente nuevos, ya que a partir de los tres meses esas bacterias y hongos que se quedan en tu cepillo, se encapsulan y son tan micro pequeñisimas tú no las podrás ver. Recuerda que existen cremas, enjuagues y cepillos apropiados para cada caso clínico y que no debes dejarte llevar porque la marca que decidas comprar sea la "marca líder del mercado" E insisto al igual que en otras publicaciones, es importante tus hábitos de aseo personal, la ingesta de agua abundante, una buena dieta alimenticia y que consultes a un especialista.

¿Cómo eliges tus productos de higiene bucal?
Cuando buscas elegir ¿cuál es el dentífrico o crema dental más apropiada para tu higiene?, o los aditamentos que existen en el mercado para tu aseo, es necesario tomes en cuenta las condiciones de tu boca, la etapa por la que cursas, la forma, tamaño y disposición de tus piezas dentarias, el o los problemas que presentas de salud bucal y sobre todo los usos para los que fueron diseñados. No se trata sólo de elegir por la publicidad, porque sean los más económicos, por ser la marca líder en el mercado o por que sean los productos más innovadores. Es indispensable consultes a un especialista para que en conjunto estudien tu caso clínico y elijan el más apropiado para tu persona; porque obvio es que no vas a elegir el mismo tamaño de la cabeza de un cepillo dental para ti que para un pequeño de 5 años, o para un adulto que utiliza aparatos protésicos o para un adolescente que cuenta con aparatos de ortodoncia, tampoco vas a elegirlo igual si tienes los dientes muy juntos que si presentes problemas de sangrado de la encía, de sensibilidad de tus dientes o en el peor de los casos si manifiestas problemas de halitosis. Cada uno de los problemas bucodentales amerita un componente distinto en las cremas dentales y cada forma, tamaño y posición de piezas dentarias un cepillo específico. Además existen en el mercado una gran cantidad de productos que debes utilizar para optimizar las condiciones higiénicas y de salud de tu boca, existen enjuagues, cedas dentales, cremas específicas para la halitosis a base de triclosán, para la inflamación y sangrado de las encías elaboradas por medio de clorhexidina, para la sensibilidad con nitrato de potasio y productos que contienen fluor y/o calcio para mejorar las condiciones de las piezas dentarias. A continuación voy a comentarte cuáles son los productos apropiados para cada caso clínico: • Para nuestros peques existen productos que por la combinación del flúor (monofluorofosfato sódico) con el calcio (glicerofosfato cálcico), contribuyendo a la remineralización de los dientes y a proteger su esmalte contra las caries. reforzando su estructura, ayudando a evitar el desgaste que sufre en presencia de los ácidos que se forman después de la ingesta de azúcares y carbohidratos. La ventaja de éstos productos es que están elaborados a base de azúcares naturales y no químicos, los cuales actúan mediante un mayor control en el proceso de la caries remineralizando los tejidos de las piezas dentarias temporales y permanentes, además aporta una dosis de flúor adecuada, no contienen conservadores y esto proporciona una buena tolerancia en la mucosa de la encía. • Para encía inflamada a consecuencia de mala higiene bucal o de la superposición de las piezas dentarias y para casos de pacientes que recientemente fueron sometidos a alguna cirugía, es recomendable utilizar enjuague, gel o cremas dentales a base de Clorhexidina con fines de mantener una acción antiséptica y prevenir así daños más agresivos. En su contenido éstos productos cuentan con elementos como el dexpantenol y alantoína que coadyuvan a reducir la inflamación de la encía dañada o en casos que requieren cicatrización, además de prevenir la implantación de placa bacteriana o sarro gracias a un componente llamado Lutról que mantiene una acción anti adhesiva evitando así la fijación de bacterias causantes de la infección. Sin embargo las indicaciones terapéuticas cambian en cada caso clínico, pues difícilmente los pacientes cuentan con las mismas características y pueden recibir la misma cantidad de producto. Ahora que existen tratamientos específicos para encías delicadas, en el que utilizándolos de manera constante contribuyen a prevenir la caries y controlar la inflamación de la encía y están elaborados a base de triclosán, citrato o lactato de zinc, xilitol, provitamina B5, y fluoruro sódico • En casos donde a consecuencia de mala digestión o por la ingesta de medicamentos se reseca la boca, o por ingerir alimentos muy condimentados se provoca mal aliento es necesario utilizar algunos productos dentales que contribuyan favorablemente reduciendo los factores que provocan que las papilas gustativas se dañen y se reseque la boca; también en casos en los que por no contar con buenos hábitos de higiene bucal o no darle la debida importancia a los problemas dentarios se implanta mayor cantidad de bacterias en las papilas gustativas de la lengua provocando que ésta se ponga blanca y se reseque o que cause aliento cetónico, es necesario adquirir productos dentales que sean útiles para la higiene bucal y que en sus componentes cuenten con triclosán, y otros componentes como el dexpantenol y alantoína que también Regenera y tonifica o fluoruro sódico con anticaries, sin embargo no dejo de recordarte que el comentarte para qué son útiles los productos del mercado no quiere decir que debas elegir de manera irresponsable auto medicándote, para que conozcas las dosis propias a tus problemas y las técnicas de su correcta aplicación debes consultar a tu especialista. • Para las piezas dentarias sensibles a consecuencia de cambios en el Ph salival por consumir muchos productos ácidos o alcalinos o por hábitos de morder hielo o cambios bruscos en la temperatura de los alimentos que consume o a consecuencia de la malformación o destrucción del esmalte sobretodo pos la ingesta de medicamentos, es recomendable utilizar productos que contribuyan a disminuir éste problema y en el mercado podríamos encontrar productos con acción desensibilizante por su alto contenido en nitrato potásico, acción remineralizante y anticariogénica gracias a las propiedades del floruro sódico y coadyuvan a mantener los dientes protegidos gracias a las propiedades regeneradoras de ingredientes como el dexpantenol y el laureth-9. La mayoría de cremas dentales que existen en el mercado y que compiten entre sí, las podemos encontrar en "la tienda de la esquina" sin embargo los componentes que les he mencionado, se encuentran en dentríficos, o enjuagues bucales que sólo encontramos en farmacias o depósitos dentales, esto a consecuencia de que se trata de productos medicamentosos que si lo quieren ver de esa forma son un poco más costosos, sin embargo por sus funciones y usos contribuyen de manera más favorable para el cuidado de la boca posponiendo el periodo de daño en los dientes por ser menos agresivos que los comunes. • Hablando de cepillos dentales, muchos confían en el tabú de que entre más duras sean las cerdas con las que aseamos los dientes, es mejor el resultado que se obtiene y no es así. Las cerdas duras, lastiman y laceran tanto a la mucosa gingival como a las piezas dentarias, para elegir de manera apropiada un cepillo es necesario solicitar el consejo de un especialista, además el Dentista que te atiende, debe informarte de acciones preventivas y de técnicas de cepillado acordes a cada caso específico. • Además de los cepillos y cremas dentales existen otro aditamentos para la higiene bucal como la ceda dental con y sin cera la cual también los odontólogos deben inferir con los pacientes sobre las técnicas apropiadas para utilizarlo y enjuagues, es necesario identificarlos porque existen algunos que se utilizan como enjuague y otros que deben usarse como colutorio a veces confunden y piensan que son lo mismo, además de que los que encontramos en los centros comerciales en su gran mayoría están compuestos de alcohol que sólo disfrazan el mal aliento y provocan que se adhieran más las bacterias sobre la mucosa gingival, las piezas dentarias y la lengua, casi todos los productos que anteriormente mencioné están en presentación de crema dental y enjuague. • Hay productos portátiles que encuentras sobre todo en depósitos dentales para que no pongas pretexto sobre las ocasiones en que debes asear tu boca y cargues con ellos de manera práctica y aun así, de no llevarlos contigo puedes una vez que hayas consumido tus alimentos, tomar agua. • También te recomiendo para mantener tu boca en excelentes condiciones que mantengas una ingesta abundante de agua y que consumas alimentos ricos en vitaminas, minerales, proteínas y calcio para que nutras a tus piezas dentarias y evitar el consumo de lípidos, carbohidratos, bebidas gaseosas y cafeína.

Nutrición en Odontología
Es común que cuando se habla de nutrición, tú CPU interno inmediatamente abre archivos que tienes procesados en los que las imágenes que visualizas son: el plato del buen comer, frutas, verduras, leche, pescado y huevo o personas a dieta. Comencemos por identificar el término de dieta, muchos creemos que hablar de dieta es comer para bajar de peso y estamos equivocados, pues realmente hablar de dieta es "APRENDER A COMER". Lo que no sabemos es que manteniendo buenos hábitos como: 1. Dormir 8 horas por día que es lo que nuestro cuerpo requiere para descansar y que además al hacerlo en nuestro día vamos a rendir más. 2. Acostumbrarnos a una ingesta abundante de agua, pero también comprendiendo lo que es abundante, pues muchos creen que entre más agua toman más van a bajar de peso y no se dan cuenta que al hacerlo pueden retener líquidos en el organismo y que esto puede ser perjudicial para su salud. Tomar agua debe ser de manera adecuada, el cuerpo requiere dos litros de agua al día y éstos se deben dividir en ocho partes proporcionales, siendo éstas de 250 mililitros en cada toma y deben estar espaciadas por periodos de dos horas que además no debe de consumirse agua combinado con alimentos y mucho menos al despertar o antes de acostarte a dormir ya que debes dejar un espacio de aproximadamente una hora antes de dormirte para que no te perjudique. Por lo consiguiente como ejemplo: si dormiste tus ocho horas desde las diez de la noche hasta las seis de la mañana, tu primer vaso de agua vas a tomarlo a las siete de la mañana, tu último vaso vas a tomarlo a las nueve de la noche. Además evitar las bebidas gaseosas te permite mantener en mejores condiciones el estado de salud bucal y general. 3. Tomar tres alimentos al día completos, el hablar de completos nos referimos a que debes incluir vitaminas, minerales que los vas a encontrar en cantidades abundantes en las frutas y las verduras, proteínas que las encuentras en el pescado, atún, sardina, salmón y que además están ricos en Omega 3 y 6, pechugas de pavo y pollo y en los quesos cottage y panela; leguminosas como frijol, lenteja, habas y por último fibra que la localizas en pan integral; lípidos y carbohidratos debes consumirlos de manera moderada y casi que evitarlos. Independientemente de estos tres alimentos es indispensable que éstos los tomes en horarios establecidos cada seis horas y que en casos de quedarte con hambre acostumbres dos snarks tres horas después del desayuno y de la comida y ellos saciarlos con fruta o verdura que tenga fibra. Evitar sales y grasas que se convierten en colesterol malo y triglicéridos contribuyen a tu salud evitando también que tus arterias se obstruyan y te permiten una buena circulación. Estos consejos son para que tú permitas que tu aparato digestivo trabaje adecuadamente y tu nutrición te permita mantener en excelentes condiciones tu sistema inmunológico ya que muchas personas piensan que omitir alimentos como la cena les permitirá bajar de peso y no es así, pues se presiona al organismo a trabajar a marcha forzada y realmente no consiguen sus objetivos. 4. También es importante aún que no lo creas, que te acostumbres a trabajar sólo lo que equivale a ocho horas, tu cuerpo requiere de descanso y recreación a tiempo equilibrados y si un día está integrado por 24 horas, lo justo es que descanses ocho, trabajes ocho y disfrutes al lado de los tuyos de tus ratos libres, de tus alimentos y de momentos inolvidables, no va a pasar nada si dejas trabajo pendiente para otro día y además de acostumbrarte a trabajar la jornada que corresponde, vas a rendir más y a presentar una mejor actitud en tu trabajo. 5. En las ocho horas restantes, que utilices como recreación, es prudente que dediques media hora a practicar algún ejercicio; Asociaciones de Cardiología recomiendan como ejercicios propios, aquellos donde no presionas a tu organismo y particularmente al sistema circulatorio y al corazón. El practicar natación o media hora de caminata diaria es suficiente para que te ejercites y liberes tanto toxinas como estrés. En éstas ocho horas se incluyes los momentos que disfrutas en familia y las horas que dedicas a tus alimentos. 6. Prevenir enfermedades, no sólo cuidando de exponerte a cambios bruscos de temperatura o evitar comer comida chatarra o fuera de casa, el hablar de prevenir es en relación a que te regales dos visitas anuales a médicos generales, oculistas y odontólogos para que consultes las condiciones en que se encuentra tu organismo, así evitarás tratamientos costosos y en muchas ocasiones, dolorosos. 7. Mantener excelentes hábitos de higiene personal y de seguridad, incluyendo el aseo diario del cuerpo y preferentemente con agua fría para que se tonifique el organismo y mejore el torrente circulatorio, lavar los dientes cuatro veces al día siendo éstas al despertar con fines de retirar de la boca la mayor cantidad posible de bacterias que se encuentran implantadas en las papilas gustativas y el los espacios inter dentarios, así; cuando desayunes no ingresarán al organismo gran cantidad de éstas bacterias y podrás prevenir enfermedades, las otras tres son después de cada alimento y si por alguna razón, no meriendas, de cualquier manera antes de dormir también es necesario lavar por cuarta ocasión la boca. Lavar nuestra cara al despertar, cortar las uñas constantemente también son buenos hábitos que te apoyaran a mantener buenas condiciones de higiene y seguridad. Dentro de éstas costumbres también es necesario mantener en buen estado los espacios físicos en los que estamos frecuentemente, (cocina, recámara, baño, salón u oficina) porque existen partículas que no percibimos y que se implantan en los alimentos que consumimos o el los utensilios que con frecuencia llevamos a la boca, además existen animales como las moscas que dejan larvas en lugares que a veces no los percibimos. Por lo que también es recomendable lavar perfectamente los alimentos que llevamos a la boca y desinfectarlos. Estos consejos que te comparto son imprescindibles para la seguridad de contar con una boca sana, y además con ellos contribuyes excelentes hábitos nutricionales, de higiene y seguridad que te beneficiarán en general.

¿Por qué prevenir?
Dentro de las Normas Oficiales Mexicanas (NOM'S) Existen tres, que obliga a los prestadores de servicios odontológicos a prestar especial interés en su cumplimiento; Entre ellas la Norma 013-SSA2-1994, que exige a los Cirujanos Dentistas tanto de práctica general como especialistas a difundir las acciones preventivas a los distintos grupos de pacientes a quienes dirigen su atención. Comenzando por: Mujeres embarazadas. o A quienes independientemente de brindarle servicios odontológicos durante su embarazo, se les debe educar sobre los cuidados que debe mantener. Muchas de ellas piensan que durante el periodo de gestación no deben acudir a consultas dentales. (actitud errónea) En éstos casos es necesario enfatizar sobre los cuidados que debe considerar tanto por su persona como por el producto que está engendrando; cuando existe un proceso carioso al mismo tiempo que éste avanza, el desarrollo embrionario también está progresando y esta caries entre más progrese más daños puede provocarle tanto a la madre como al feto en todos los aparatos y sistemas de vital importancia. Niños. o También es ineludible informarle a las madres de la importancia de la lactancia materna para el desarrollo sano de su bebe, de las razones por las que los biberones y chupones no son recomendables y de las técnicas que deba emplear para la higiene de la encía de su bebé a partir de los cuatro meses de edad, misma en que la alimentación varía y se incluye en la dieta diaria del bebé papillas de frutas, verduras y proteínas. o Después de que al niño le comienzan a erupcionar las piezas dentarias, es necesario recomendarle técnicas de cepillado con aditamentos indispensables para el sano desarrollo de los dientes, evitando con estos el prurito y salivación excesiva que comúnmente se produce. o También cuando el menor ya cuenta con sus 20 piezas temporales, es importante que el operador de Odonto pediatría, muestre al niño la técnica apropiada de higiene bucal y explicar las razones por las que no debe incluir carbohidratos en su dieta diaria disfrazados estos de caramelo macizo. Pacientes crónicos degenerativos. o A ellos se les debe mantener un control sobre las condiciones de salud de su boca, en el caso de pacientes diabéticos, los medicamentos que habitualmente ingieren para el control de su enfermedad, provocan resequedad en la lengua y sensibilidad o desmineralización de las piezas dentarias. A ellos atenderlos de una caries muy avanzada puede implicar la extracción del órgano dentario dañado y esto en ocasiones puede ser complicado. o En el caso de los pacientes hipertensos o con enfermedades cardiovasculares, no se les debe infiltrar sustancias anestésicas que puedan en algunas ocasiones alterar su estado de salud en general sin previa autorización de su médico especialista, por lo cual es necesario hablar con ellos sobre los cuidados de su boca. Adolescentes. o En ésta etapa de la vida, los chicos cursan por un periodo de pérdida de identidad, en la que si la posición de las piezas dentarias no es la correcta, se sienten atacados por los demás chicos de su edad y buscan tratamientos que les sean útiles para colocar las piezas en el lugar que les corresponde, (ortodoncia) para este tipo de tratamientos. Es indispensable informar a los portadores de aparatos fijos los cuidados que deben tener con su higiene, ya que el periodo que contarán con ellos dentro de la cavidad bucal, es superior a los dos años. De no tener cuidado con su higiene, ellos solucionarán el problema de la posición de las piezas en la boca pero se verán vulnerables a adquirir problemas de inflamación de la encía que de no ser cuidado, puede éste generar daños más perjudiciales que en algunos casos provocan que los tratamientos en los que invirtieron por tener una mejor sonrisa, a futuro sean fracasados. Adultos jóvenes. o A éste grupo es trascendente informarles sobre las técnicas apropiadas de higiene bucal, sobre los cuidados que deben contemplar en caso de ser personas activas y que por razones de estudios o trabajo omitan habitualmente realizar alguna de las ocasiones que deben asear su boca y que muchos de éstos tiempos son en las horas de alimentos que incluyen mayor cantidad de lípidos y carbohidratos, lo cual provoca acumulación de placa dento bacteriana que impacta a las bacterias que provocan la caries. Fumadores o A ellos es necesario enfatizarle que no mantener una higiene adecuada llega a provocar enfermedades en la encía que pasar por cuatro estadíos y que en el peor de los casos puede hacerles perder órganos dentarios sin causa aparente, además de mostrarles las técnicas adecuadas tanto de higiene bucal, como del cuidado y conservación de los aditamentos que utilice para su aseo, pues dejarlos en un espacio compartido con los demás integrantes de una familia, puede contaminar a los cepillos de sus familiares provocando con ello el contagio de enfermedades como la gingivitis y en estudios recientes se ha comprobado que por medio del sangrado de la encía se puede incubar el virus VIH. Personas de la tercera edad o Nuestros adultos mayores, son seres que han perdido varias piezas dentarias, las acciones preventivas en éste grupo pueden ir desde la importancia de recuperar las piezas que han perdido para evitar problemas articulares; hasta las técnicas de aseo tanto de las piezas que aún tengan como de los aparatos protésicos que porten en su boca, así como los cuidados que estos aparatos deban tener. Empresas que utilizan químicos. o En éste grupo, muchas ocasiones existen personas que consumen como de gustación los alimentos que procesan, esto les llega a provocar desmineralización en los tejidos que conforman las piezas dentarias, generando daños como sensibilidad y/o desgaste en los dientes, por ende es necesario inducirlos a consultar a su dentista para evitar que esos daños avancen. De manera general, también es importante hacer ver a los pacientes los cuidados que se suman a una buena condición de salud de la cavidad bucal, parece un tanto increíble, pero el mantener una dieta adecuada rica en vitaminas y minerales disfrazados de frutas y verduras; fibra disfrazada de pan integral, avena o amaranto; proteínas que nos brindan la pechuga tanto de pollo como de pavo, el atún, la sardina, el salmón, el queso panela y el cottage; además; leguminosas como el frijol, la lenteja y las habas. Así como mantener una ingesta abundante de agua y hacer ejercicio, puede contribuir a que nuestra boca se encuentre en buenas condiciones por periodos importantes. A cada uno de ellos les debemos informar sobre las técnicas de cepillado acordes al periodo por el que cursan, mencionando los aditamentos que sean más adecuados para el aseo de su boca y recomendando algún cepillo y crema dental en particular.

Alimentación sana
Nadie nacemos entrenados para ser padres, sin embargo esa responsabilidad la acatamos de manera responsable como mejor lo creemos, sólo que desafortunadamente el Roll que hoy día toman las madres, provoca que se vinculen más a labores ajenas al cuidado de los hijos y en la actualidad son más las madres que trabajan y mayor también la cantidad de niños que se atienden solos, que aunque como madres se hayan ocupado de preparar alimentos, ellos adoptan el hábito de alimentarse con lo que sea, lo primero que encuentran a su paso. Es también muy destacado el antecedente de que a las escuelas llevan su desayuno ligero y ellos lo cambian por cualquier chatarra que encuentran a su paso. Todo ello por no inculcarles a los hijos un ejemplo alimenticio sano y de buenas costumbres de cuidado de salud en general. No se trata sólo de enseñarlos y acostumbrarlos a comer sano, se trata además de orientarlos sobre el hábito de una buena higiene personal en general, ya que tener la costumbre de asear nuestras manos antes y después de acudir a un sanitario, previene sobre todo a las niñas y mujeres a prevenir infecciones urinarias a temprana edad, y a ambos les previene sobre llevar alimentos contaminados a su organismo; mantener una ingesta adecuada de agua les mantiene hidratadas todas las células del cuerpo y el hablar de ingesta apropiada es porque se les pone ejemplos a nuestros hijos de consumir el agua de manera irresponsable, consumiendo grandes cantidades del líquido vital y provocando que se dañe la vejiga urinaria; en el peor de los casos, hay papás que aún los bebés no saben decir papá o mamá, pero le acostumbran a tomar bebidas gaseosas y su primera palabra en algunos casos es "Coca". Debemos asumir nuestra responsabilidad e identificar los horarios de los Sagrados alimentos como un momento pleno y enriquecedor, deberíamos pues tomarlo como un momento privado, obligado a la convivencia y paz familiar, en el que al comer en familia, nuestros hijos convivan más y exista mayor comunicación además perciban ejemplos sanos en nuestra alimentación y nutrición. En una publicación anterior, comentaba la importancia de establecer horarios para nuestra alimentación y creo se debiera seguir como hábito sano, sin embrago, los pequeños de casa, ni pueden ingerir las mismas dosis, ni les afectaría si en alguna ocasión no coman bien siempre y cuando se mantengan bien hidratados. Además debe contemplarse que los chicos, pasan por etapas distintas que cada una de ellas les corresponde otro tipo de horarios en los alimentos. Sólo contempla que debes venderles la idea de los alimentos con una presentación motivante con la que les sea grato el momento de la comida. Pero sí es necesario instruirlos sobre el daño que genera al organismo, el consumo excesivo de bebidas gaseosas, caramelos, alimentos chatarra, ya que no es sólo daño a sus dientes, también el problema lo es para s salud en general y llevar comida a la boca con las manos sucias provoca el llevar contaminados los alimentos que se consumen. No puedes prohibirles a los niños el consumo de dulce pero sí platicar con ellos sobre el daño que provocan y lo que sí te aconsejo es que controles el consumo de chocolate porque aumenta la hiperactividad de los pequeños. Aconséjales que si bien, no tienen a la mano un lugar propio para el aseo de su boca, si mínimo al terminar algún alimento o caramelo, tomen un vaso con agua, para que ella se encargue de barrer con los residuos del caramelo o de las enzimas de los alimentos como lípidos y carbohidratos y eviten que se implanten grandes cantidades de materia alba o placa bacteriana en el margen de sus dientes, a ellos les provoca más daño por ser vulnerables a consecuencia del cambio de dentición de la "de leche" por la permanente ya que los dientes deciduos o de leche son más susceptibles que los permanentes pero en la etapa por la que están cursando, los permanentes que ya están en su boca aún no han culminado su desarrollo y se pueden dañar muy pronto. Analiza, ¿cuál es la primera o las primeras piezas que te han arreglado o cuál es la primera pieza que perdiste? ¡Es una de las cuatro primeras molares, verdad! La sexta pieza que se ubica a cualquiera de los dos lados de tu boca tanto arriba como a bajo y... ¿Por qué? Por ser éstas las primeras piezas permanentes que crecen en tu boca. Los pequeños son como esponjita, todo lo que tú les inculques en sus primeros ocho años de vida, van a ser las herramientas que empleará en su vida futura. Por lo que te aconsejo que lo acostumbres a una dieta adecuada reducida en carbohidratos y lípidos, una ingesta adecuada de agua y explicarles el daño de las bebidas gaseosas, buenos hábitos de higiene personal, el ejercicio diario y un buen descanso, esto aunado a que le inculques valores y principios y lo habitúes a que incluya un libro en su dieta diaria.

Cuidados bucales en el embarazo
Cuando planeas embarazarte debes considerar varios detalles importantes; Debes contemplar tus proyectos de vida y carrera, pues traer hijos al mundo es fácil, pero dedicarles el tiempo que te demanden, inculcarles valores y principios o brindarles excelente calidad de vida, educación y alimentación no lo es; estos factores deben considerarse cuando deseas tener hijos; no es sólo disfrutar un momento en pareja y los hijos no merecen que les des familias desavenidas en su desarrollo familiar. Si estás segura de lo que deseas, es importante que antes de que te embaraces contemples la calidad de vida que tú llevas, necesitas mantener un buen estado de salud en general sobre todo en cuestiones hormonales para lo cual es necesario prevengas las condiciones en que pretendas vivir tu embarazo visitando a un especialista para que en conjunto puedan mantener en observación ese proceso. Es necesario que consideres varios factores como: • Tu alimentación debe ser la adecuada, ya que en ese periodo, tu comes por dos, los nutrientes de los alimentos que ingieres los aprovecha más el feto para su desarrollo que tú y es necesario que ingieras alimentos ricos en vitaminas, minerales, proteínas y fibra para que le puedas brindar un buen desarrollo embrionario al bebé que esperas. • También es indispensable que incluyas alimentos ricos en calcio, hierro y ácido fólico independientemente de que el médico te recomiende la ingesta de vitaminas que los contenga y con ello puedes prevenir además enfermedades infecciosas tanto respiratorias como digestivas pues con una sana alimentación podrás mantener en buen estado tu sistema inmunológico. • Una ingesta abundante de agua, evitando el consumo de cafeína y de bebidas gaseosas es muy necesaria para que las condiciones en que se cubra tu placenta también sean en las mejores circunstancias. • Éste periodo es un poco complicado, amerita periodos largos de reposo en algunos casos por lo difícil que llega a ser éste proceso, sin embargo es recomendable cambiar los tacones por zapatillas planas o zapatos cómodos para prevenir accidentes y que puedas realizar pequeñas caminatas de treinta minutos para que te ejercites previniendo también la pre eclampsia o diabetes gestacional. Date cuenta que éstas situaciones pueden impedirte llevar a término tu embarazo. • En el primer trimestre de un embarazo se cursa por un signo característico que te provoca arco reflejo nauseoso por lo que te recomiendo que busques mantener en buena higiene tu boca para que prevengas también que las bacterias que proliferan en la cavidad bucal se multipliquen y se pasen al interior de tu organismo. Aunado a ello es necesario seas previsora y visites a tu dentista, con ello prevenir caries nuevas provocadas en parte por la descalcificación que sufres y el avance progresivo de caries ya existentes a las que no les has prestado atención, considera que un proceso carioso puede ser dañino para ti y tu futuro hijo, pues las piezas dentarias cuentan con un tejido que es el que les mantiene en buen estado de vitalidad, éste tejido está inervado de vasitos sanguíneos y nervios que están en comunicación con todo el torrente circulatorio y que por ende puede provocarte que las bacterias que están presentes en tu caries contaminen órganos de vital importancia como tu corazón, pulmones, riñones e hígado y peor aún que también afecte a los órganos que están en desarrollo de tu bebe. • Tu alimentación se va a ver reflejada en la salud de tu boca y es necesario que no vayas a omitir ninguna de las ocasiones en que debes cepillar tus dientes en ese tiempo, pues puedes provocar descalcificación o desmineralización en tus dientes. Además recuerda que estas produciendo la alimentación que a tu bebe le proporcionará durante como mínimo los primeros cuatro meses de vida extrauterina el DHA y omega 3 que le permitirá mantener permeable a su sistema nervioso central y contribuirá a su sano desarrollo. • Si durante tu embarazo realizas alguna actividad laboral, busca la manera de mantenerte aislada de personas ruidosas y que pretendan provocar la más mínima irritabilidad, pues someter tu estado a una crisis estresante, podría generar conflictos al estado emocional de tu bebe; por lo contrario sería recomendable que escuches música instrumental pero particularmente ópera, ya que con ello conseguirás el desarrollo psicosensorial de tu bebé se encuentre en excelentes condiciones e independientemente cuando nazca su intelecto se va a desarrollar más. • Durante todo tu embarazo si te agrada fumar o ingerir café o en casos peores si te agrada estar bajo el influjo de enervantes que dañan a tus neuronas, es muy recomendable que controles el consumo de los mismos, pues puedes perjudicar en su desarrollo embrionario al bebe que estás esperando y peor aún exponerlo con mayor peligro a la muerte súbita. Procura prepararte en las mejores condiciones salubres, para que puedas ofrecerle una bienvenida plena de salud a tu bebito, realiza actividades profilácticas, prepara la llegada de tu bebe, prepara el nido donde lo vas a albergar y date cuenta que esa semilla que hoy siembras en un futuro te mostrará las cosechas que te permitirán gozar de los regalos más bellos que Dios padre tiene para ti; porque vivimos enfrascados en una vida cotidiana y en problemas a los que no les encontramos la solución y por las mismas condiciones en que estamos acostumbrados a sobre llevarla, lejos de solucionar una situación, le sumamos más conflictos y ninguno solucionamos y es hasta que ves la evolución de tus hijos cuando valoras y aprecias las maravillas que nuestro Padre Celestial con su gran amor te brinda a diario.

En qué afecta la caries a nuestros órganos
Caries no es sólo la destrucción del tejido dentario que observamos frente al espejo y que nos ocasiona dolor de muelas en algunos casos, la caries se provoca desde el momento en que ingerimos alimentos de manera irresponsable comiendo mayor cantidad de carbohidratos y lípidos aunado a no tener el hábito de asear adecuadamente la boca, ya que en esas ocasiones, se implanta sobre los defectos estructurales de dientes y muelas, sobre los surcos y fisuras o los cuellos de las piezas dentarias una masita conocida como "Materia alba" si la irresponsabilidad va más allá de no asear la boca después de una ingesta de alimentos y le sumamos varias ocasiones en que se omita este hábito higiénico o en que se realiza pero no con las técnicas apropiadas, esa masita cambia su consistencia y nombre siendo reconocida ahora como "placa dento bacteriana" la cual afecta con mayor agravio a los dientes y muelas, siendo importante considerar que en el caso de los niños recién nacidos, se están desarrollando los tejidos dentarios y que a partir de los cuatro meses su alimentación varía y no sólo consume leche materna por lo que es imprescindible omitir el aseo de los dientes que están brotando. En el caso de los niños de edad prescolar y escolar su dentición está cambiando y es el tiempo en que erupsionan las piezas que va a tener hasta su vida adulta, en ésta etapa, su consumo de caramelos cubiertos es excesiva y no tienen el hábito de lavarse los dientes, dato importante de destacar, pues no se les puede exigir si no se les brinda el ejemplo y se les habla del valor del aseo de la boca, en el caso de los adultos jóvenes que por cuestiones laborales justifican el no lavarse las piezas dentarias y en el caso de los adultos que no llevan un control higiénico en aparatos protésicos que se insertan en piezas naturales, razón por la cual la placa dento bacteriana se empaqueta sobre todas las piezas y ello provoca una invasión de bacterias que de no atender ésta situación, en los sitios en donde con mayor cantidad se coloca, llega a provocar que la pieza se debilite y se comienza a producir el Tejido Carioso a causa de la invasión bacteriana, ésta, en sus inicios es sólo una mancha de color café con leche, que los pacientes no atienden por percibirse físicamente como inicios de sarro que es en lo que se convierte la placa bacteriana por hacerse más resistente. Volviendo al caso de la caries, existe una clasificación de ella que habla de los sitios y formas en que se impacta la caries y va del 1° al 4° grado, siendo la caries de primer grado, aquella que se implanta sobre los espacios más profundos como surcos, fosas y fisuras por nombrar algunos pero sólo afectando el esmalte de los dientes y muelas, es tan pequeña e indolora, que aquellos que no tienen la costumbre de atender su salud la dejan crecer; y el daño comienza a proliferar y a afectar al siguiente tejido de la pieza dentaria y que se llama dentina, lo malo de la dentina, a comparación de la del esmalte que es bastante resistente, es que es un tejido muy blando, su consistencia es similar a la de una esponja de baño y con mayor facilidad puede pasarse el daño a éste tejido y aquí en sus inicios se llama caries de segundo grado, su dolor el leve y pasajero, sólo mientras está el estímulo que le provoca el dolor molesta, en cuestión de segundos se retira, pero aquí es más factible que exista contaminación y que avance más pronto a consecuencia de que como ya se formó un "cráter" o cavidad se empaqueta con facilidad el residuo de alimentos sólidos y líquidos, lo cual llega a provocar dolores más fuertes y convierte la caries en una de segundo grado profundo. Tristemente inmediatamente después de ese tejido cuya función estriba en defender al que sigue que se llama pulpa y que corresponde (por decirlo así, como el corazón de un organismo) al tejido que le da vida a las piezas dentarias; afectándose éste tejido ya la caries es mucho más dolorosa, difícilmente se retira con facilidad el estímulo doloroso y se contamina mucho más, ésta, es una caries de tercer grado y al igual que la anterior entre más se deja sin atender pasa de una de tercer grado a una de tercer grado profundo, si se continua desatendiendo el padecimiento, puede suceder como mencioné en una publicación anterior las piezas dentarias están inervadas vasos sanguíneos, capilares y nervios, los cuales se asemejan a la circulación de una ciudad desde que entras a ella con el torrente circulatorio, en el cuerpo tenemos arterias, venas y capilares, si vienes de la carretera ingresas a una avenida, de ella a calles y por último a callejones, así como por ellas circulan los vehículos, por las arterias, venas y capilares circula sangre que nuestro deseo es que se encuentre en excelentes condiciones, pero cuando dejas una pieza dañada la sangre que va a circular por ella va a estar contaminada y en el caso de la boca, después de las tres terminales que tiene el trigémino, pensando en éste nervio como la carretera que te conduce a tu ciudad, puedes entrar a tres avenidas que en el caso serían los nervios infraorbitario, maxilar y mandibular, de este ejemplo entras a calles como la del nervio dentario y lingual y de la calle del dentario, entras al callejón del nervio alveolar; si tienes infección en una pieza esta va a circular por el nervio alveolar, por el dentario y así sucesivamente y lo peor es perder la pieza por no atenderla y aun así, si dejas crecer el daño, perderás la pieza, contaminarás a las demás por conducir sangre contaminada y esto actuará por el estilo de una cisterna, en la que el agua sube a un tinaco surte las tomas de agua de otros espacios y podrás tener problemas articulares. Y peor aún; cuando tienes infección en tus piezas dentarias y ésta se prolifera, al circular por todo el torrente circulatorio afectarías a órganos de vital importancia como el corazón, hígado o pulmón y si estás embarazada ¡a tu bebe! La última caries según la clasificación que mencioné, se forma partiendo de la infección que existe en la parte más profunda de la pieza, la cual debilita a los tejidos adyacentes y puede provocar la contaminación en el cemento que es la parte que sostiene a la pieza en unión con su espacio donde se implanta y se llama alveolo. Ahora te invito a que analices, la caries no atendida, provoca que se enferme la pulpa, que si recuerdas te mencioné que es el tejido que le da vida a los dientes, al contaminarse ella requieres de atención de especialistas y más costosa, en el mejor de los casos, sólo te retira la pulpa y cuentas con tus piezas pero ya no tendrán vida y requerirás cambiar de cualquier forma hábitos alimenticios para que contribuyas a que no se desmorone la pieza por desmineralizarse. En casos peores de perder las piezas y ser éstas sustituidas por piezas artificiales, jamás podrás comparar las funciones que realizabas con las naturales que las artificiales. Si tu acudes de manera preventiva a consulta con cualquier especialista de salud, pero en éste caso a un profesional de la Odontología, podrás PREVENIR daños más severos y tu inversión sería favorable pues no representaría un gasto fuerte, de lo contrario, si acudes por requerir un TRATAMIENTO, te va a representar un gasto infructuoso y va a ser dolorosa la visita que le realices a tu doctor. Por último te invito a que atiendas las indicaciones médicas sobre todo medicamentosas cuando te las proporcione tu dentista, ya que por algo te brinda la información y si te indica la ingesta de algún antibiótico ¡POR FAVOR!, no lo suspendas, pues los medicamentos de éste tipo requieren las dosis que te indican para que funcione, ya que de hacer caso omiso, puedes hacerte resistente a los medicamentos y no habrá alguno que te sea útil. *RECUERDA: Una boca sin muelas es como un molino sin piedras y tus dientes valen mucho más que lo que valga un diamante.